किसी को एक्स्ट्राक्रैनियल-इंट्राक्रैनियल बाईपास की आवश्यकता क्यों होगी?
मरीजों के एक चुनिंदा समूह के इलाज के लिए एक्स्ट्राक्रानियल-इंट्राक्रानियल बाईपास का उपयोग किया जाता है। कुछ मरीज़ जिन्हें खराब मस्तिष्क रक्त प्रवाह (सेरेब्रल हाइपोपरफ्यूज़न) के कारण स्ट्रोक का अनुभव हुआ है, उन्हें बाईपास प्रक्रिया से लाभ हो सकता है। कैरोटिड धमनी को बंद करने की आवश्यकता वाले जटिल संवहनी स्थितियों वाले अन्य रोगियों को भी बाईपास प्रक्रिया की आवश्यकता हो सकती है।
ए) प्री-ऑपरेटिव लेटरल एंजियोग्राम आंतरिक कैरोटिड धमनी के सुप्राक्लिनोइडल खंड के अवरोध को दर्शाता है।
बी) पेटेंट बाईपास ग्राफ्ट को प्रदर्शित करने वाले सीटी एंजियोग्राम का पोस्ट-ऑपरेटिव 3-डी पुनर्निर्माण। इस मामले में बाईपास ग्राफ्ट सतही टेम्पोरल धमनी (एसटीए) है, और यह मध्य मस्तिष्क धमनी (एमसीए) से जुड़ जाता है, जिससे मस्तिष्क में रक्त का प्रवाह बहाल हो जाता है। इस प्रकार के बाईपास को एसटीए-एमसीए बाईपास कहा जाता है।
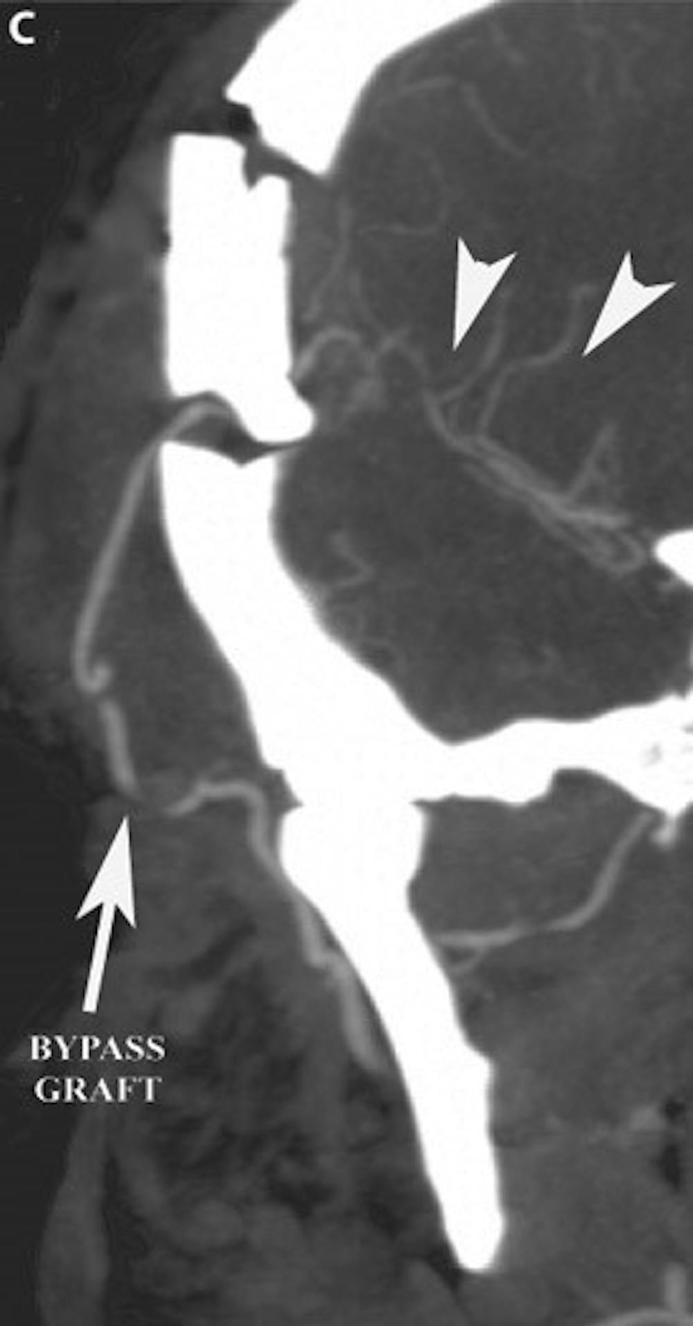
सी) पोस्ट-ऑपरेटिव कोरोनल सीटी एंजियोग्राम पेटेंट बाईपास ग्राफ्ट और पुनरोद्धारित मध्य सेरेब्रल धमनी क्षेत्र (एरोहेड्स) को प्रदर्शित करता है।




