海綿狀血管瘤是一小簇薄而厚壁的靜脈通道,沒有任何干預神經組織。 海綿狀血管瘤可能位於一條大靜脈附近,該靜脈引流了大腦的大區域,稱為發育性靜脈異常 (DVA)。 然而,海綿狀血管瘤缺乏與任何供血動脈或引流靜脈的直接聯繫。 海綿狀血管瘤通常存在於大腦和腦幹中,很少見於脊髓。 在50%的病例中,海綿狀血管瘤是多發的。
什麼原因導致海綿體瘤?
遺傳學已被證明會影響海綿狀血管瘤的形成。 事實上,已經確定並研究了整個患有海綿狀血管畸形的家庭。 已經鑒定出幾個基因(CCM1、CCM2 和 CCM3)的突變,這些突變是這些家族中海綿狀體海綿狀瘤常染色體顯性遺傳模式的原因。 這種常染色體顯性遺傳模式占海綿體瘤的不到一半,其餘患者具有導致這些海綿體瘤形成的自發突變。 對大腦的放射治療與海綿狀體瘤的自發形成有關,特別是如果放射治療是在兒童時期進行的。
如何診斷海綿體瘤?
海綿狀血管瘤患者可能表現為新發癲癇發作、進行性神經功能缺損和偶爾的腦出血。 海綿狀血管瘤往往有反覆的小出血,很少對神經造成破壞性。 海綿體瘤出血的年風險範圍為0.2%至2%。 洞穴瘤通常在 MRI 上診斷,因為它們具有非常典型的外觀。
如何治療海綿體瘤?
海綿狀血管瘤的治療策略取決於其在大腦和脊髓中的位置。 位於大腦手術可觸及區域的海綿狀血管瘤通常可以在合理的安全程度下切除。 如果海綿狀血管瘤位於腦幹或脊髓中,手術切除術后神經功能缺損的風險更大。 因此,經常觀察到腦和脊髓海綿狀血管瘤,手術切除僅用於與神經功能惡化相關的反覆出血的患者。 手術是海綿狀血管瘤唯一可用的治療方法,有充分證據表明它們對放射治療沒有反應。 一些患有多發性海綿狀血管瘤的患者家庭和/或多個家庭成員患有海綿狀血管瘤可能會從遺傳諮詢中受益。

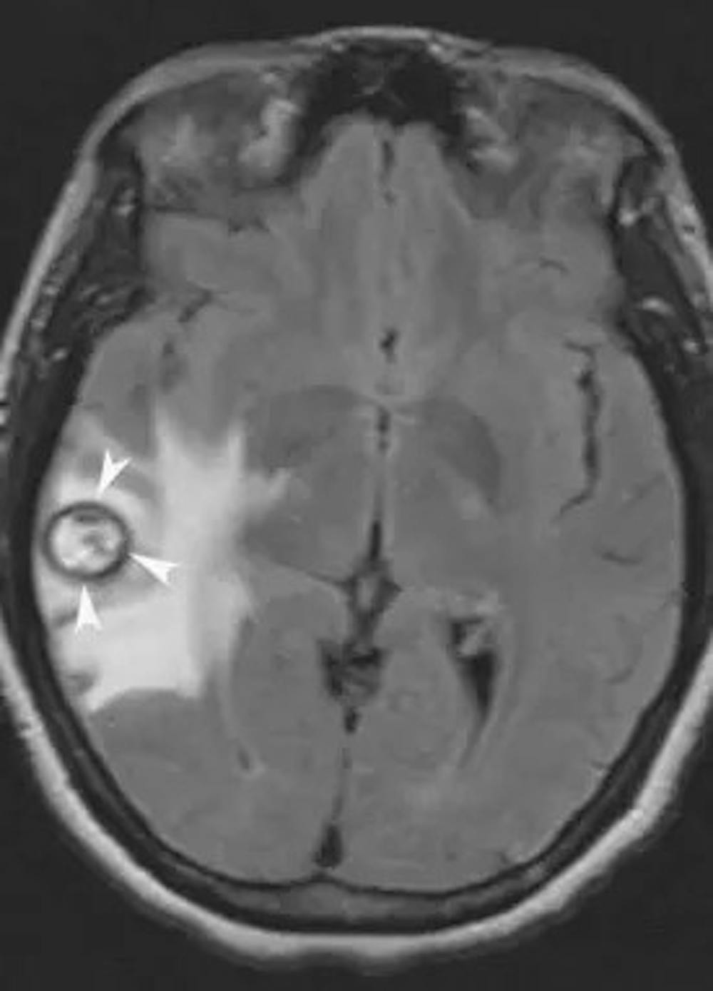
顯示右顳海綿體瘤的大腦軸向序列。 注意海綿狀體周圍的黑環(箭頭)。 這個環稱為含鐵血黃素環,起源於小出血事件后沉積在海綿狀血管瘤周邊的舊血液製品。 這種含鐵血黃素環是海綿體瘤的特徵。

