Um craniofaringioma é um tumor que cresce próximo à glândula pituitária no cérebro. Esses tumores tendem a ocorrer em crianças com mais frequência do que em adultos. Os craniofaringiomas frequentemente contêm partes sólidas e císticas que geralmente aumentam com o tempo e comprimem as estruturas vizinhas no cérebro, como os nervos ópticos, a glândula pituitária e até mesmo o sistema ventricular.
Quais são as causas de um craniofaringioma?
A causa exata dos craniofaringiomas não é clara. A crença predominante é que esses tumores surgem de um grupo de células que assume uma localização anormal perto da glândula pituitária durante o desenvolvimento fetal.
Como os craniofaringiomas são descobertos?
Os craniofaringiomas comprimem as estruturas vizinhas no cérebro à medida que crescem. Elas podem prejudicar a visão ao comprimir os nervos ópticos e podem causar uma série de anormalidades hormonais ao comprimir a glândula pituitária. Elas podem até resultar em hidrocefalia (acúmulo de líquido cefalorraquidiano no cérebro) ao comprimir o sistema ventricular, causando letargia, dor de cabeça, náusea e vômito.
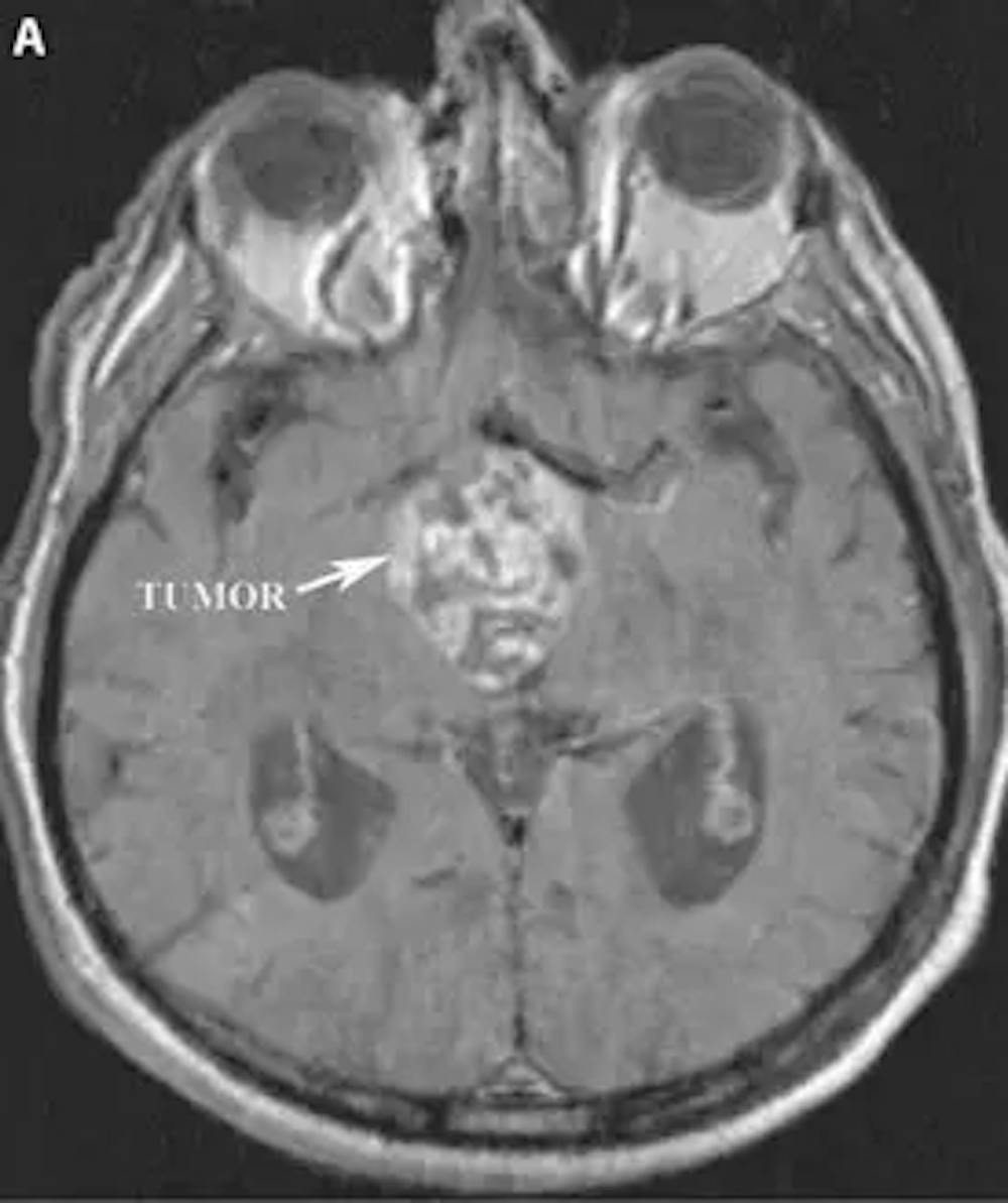
O diagnóstico de um craniofaringioma é geralmente confirmado por meio de uma tomografia computadorizada e/ou ressonância magnética do cérebro. Além dos estudos de imagem do cérebro, geralmente é feita uma avaliação endócrina e oftalmológica completa.
Como os craniofaringiomas são tratados?
A ressecção cirúrgica é a base do tratamento para craniofaringiomas. Infelizmente, esses tumores tendem a voltar a crescer se não forem completamente removidos. Além disso, nem todos os tumores são passíveis de ressecção completa, pois podem ser muito aderentes às estruturas vizinhas. A radiação também pode ser usada, isoladamente ou em conjunto com a cirurgia. A radiação, no entanto, pode lesionar a hipófise e o hipotálamo, resultando em efeitos adversos na produção de hormônios e no desenvolvimento infantil.

A) RM axial ponderada em T1 pré-operatória do cérebro com contraste demonstrando o craniofaringioma com realce localizado no terceiro ventrículo.

B) Fotografia intraoperatória mostrando o craniofaringioma se projetando através do forame de Monroe para dentro do ventrículo lateral.
C) Ressonância magnética axial pós-operatória do cérebro com contraste demonstrando a ressecção completa do craniofaringioma.




