મગજની ગાંઠ એ મગજમાં કોષોની અસામાન્ય વૃદ્ધિ છે. મગજની ગાંઠ પ્રાથમિક (મગજ અને તેના આવરણમાં ઉદ્દભવતી) અથવા મેટાસ્ટેટિક (શરીરમાં અન્યત્ર ગાંઠથી ફેલાયેલી) હોઈ શકે છે. વ્યાખ્યા દ્વારા મેટાસ્ટેઇક ગાંઠો જીવલેણ છે. પ્રાથમિક મગજની ગાંઠો, જોકે, સૌમ્ય અથવા જીવલેણ તરીકે વર્ગીકૃત કરી શકાય છે. સૌમ્ય ગાંઠ એવી છે જે ધીમે ધીમે વધે છે અને બિન-આક્રમક છે. એક જીવલેણ ગાંઠ, તેના બદલે, ઝડપથી વધી રહી છે અને આસપાસના પેશીઓ પર આક્રમણ કરે છે. જેમ મેટાસ્ટેઇક ગાંઠો મૂળના પેશીઓના આધારે વર્ગીકૃત કરી શકાય છે (દા.ત. સ્તન અથવા ફેફસાના કેન્સર) પ્રાથમિક મગજની ગાંઠોને તેમના મૂળના કોષના આધારે વર્ગીકૃત કરી શકાય છે, ઉદાહરણ તરીકે:

  • મેનિન્જીયોમાસ મગજના એરાકનોઇડ આવરણમાંથી ઉદ્ભવે છે.
  • એસ્ટ્રોસાયટોમા એસ્ટ્રોસાયટ્સ નામના મગજમાં વેચાતા તંતુમય આધારમાંથી ઉદભવે છે.
  • ઓલિગોડેન્ડ્રોગ્લિઓમાસ ઓલિગોડેન્ડ્રોસાઇટ્સ નામના કોષોમાંથી ઉદ્દભવે છે જે સેન્ટ્રલ નર્વસ સિસ્ટમની ચેતા માટે માયલિન ઉત્પન્ન કરે છે.
  • એપેન્ડીમોમાસ એપેન્ડીમલ કોષોમાંથી ઉદ્ભવે છે જે મગજની જગ્યાઓ (વેન્ટ્રિકલ્સ) ધરાવતા પ્રવાહીને રેખા કરે છે.
  • શ્વાન્નોમાસ શ્વાન કોષોમાંથી ઉદ્દભવે છે જે ક્રેનિયલ ચેતાને આવરી લેતા માયલિન ઉત્પન્ન કરે છે.
  • ડર્મોઇડ્સ અને એપિડર્મોઇડ્સ મગજની અંદર સ્થિત ત્વચાની પેશીઓના અસામાન્ય રીતે સ્થિત વિકાસલક્ષી અવશેષોમાંથી ઉદ્ભવે છે.
  • કફોત્પાદક ગાંઠો કોષોમાંથી ઉદ્ભવે છે જે કફોત્પાદક ગ્રંથિ બનાવે છે.

મોટાભાગની પ્રાથમિક મગજની ગાંઠોને વિશ્વ આરોગ્ય સંસ્થા (WHO) દ્વારા સ્થાપિત ચાર ગ્રેડમાં વધુ વર્ગીકૃત કરી શકાય છે. ગ્રેડ I ની ગાંઠો સૌમ્ય અને શસ્ત્રક્રિયાથી સાજા થાય છે જ્યારે ગ્રેડ IV ની ગાંઠો ખૂબ જ આક્રમક વર્તન દર્શાવે છે. પાયલોસાયટીક એસ્ટ્રોસાયટોમા એસ્ટ્રોસાયટોમાનો એક પ્રકાર છે જે સૌમ્ય અને શસ્ત્રક્રિયાથી સાધ્ય છે (WHO ગ્રેડ I). ગ્લિઓબ્લાસ્ટોમા મલ્ટીફોર્મ (GBM) એસ્ટ્રોસાયટોમાનો એક પ્રકાર છે જે વૃદ્ધિના ઝડપી દર (WHO ગ્રેડ IV) સાથે અત્યંત આક્રમક છે.

મગજની ગાંઠનું કારણ શું છે?

ઘણી મગજની ગાંઠોમાં આનુવંશિક અસાધારણતા હોય છે જે તેમની વૃદ્ધિની પદ્ધતિમાં ફેરફાર કરે છે. કેટલાક આનુવંશિક વિકૃતિઓ મગજની ગાંઠની રચનાના વધતા જોખમ સાથે સંકળાયેલા છે, જેમ કે ન્યુરોફિબ્રોમેટોસિસ, વોન હિપ્પલ-લિન્ડાઉ રોગ અથવા રેટિનોબ્લાસ્ટોમા. રેડિયેશનના અત્યંત ઊંચા ડોઝના સંપર્કમાં આવવાથી મગજની ગાંઠ બનવાનું જોખમ વધે છે.

મગજની ગાંઠનું નિદાન કેવી રીતે થાય છે?

સામાન્ય રીતે દર્દી માથાનો દુખાવોની ફરિયાદ કરે છે જે અસ્પષ્ટ દ્રષ્ટિ અને ઉબકા અથવા ઉલટી સાથે સંકળાયેલ છે. કેટલાક દર્દીઓ નવી શરૂઆતની જપ્તી પ્રવૃત્તિ સાથે હાજર થઈ શકે છે. મગજની ગાંઠો, જોકે, મગજમાં તેમના સ્થાનના આધારે વિવિધ લક્ષણો પેદા કરી શકે છે, ઉદાહરણ તરીકે:

  • મગજના પ્રદેશમાં સ્થિત ગાંઠ કે જે હાથ અથવા પગની હિલચાલને નિયંત્રિત કરે છે તે નબળાઇમાં પરિણમશે.
  • વાણી સાથે સંકળાયેલા મગજના પ્રદેશમાં ગાંઠને કારણે ભાષા અને શબ્દ શોધવામાં સમસ્યા થશે.
  • મગજના પ્રદેશમાં ગાંઠ જે સંતુલનને નિયંત્રિત કરે છે તે દર્દીને અસ્થિરતા અને ચક્કર આવવાની ફરિયાદ કરી શકે છે.
  • મગજના આગળના લોબ્સમાં ગાંઠ વ્યક્તિત્વમાં પરિવર્તન લાવી શકે છે.

એકવાર મગજની ગાંઠની શંકા થઈ જાય, નિદાનની પુષ્ટિ કરવા અને સારવારની વધુ વ્યૂહરચના ઘડવા માટે મગજની ઇમેજિંગ જેમ કે એમઆરઆઈ અથવા કોન્ટ્રાસ્ટ સાથે સીટી સ્કેન મહત્વપૂર્ણ છે.

મગજની ગાંઠની સારવાર કેવી રીતે થાય છે?

મગજની ગાંઠોની સારવારમાં બાયોપ્સી, સર્જિકલ રિસેક્શન, રેડિયેશન થેરાપી અને કીમોથેરાપીના કેટલાક સંયોજનનો ઉપયોગ કરવામાં આવે છે. ચોક્કસ સારવાર વ્યૂહરચના મગજની ગાંઠના ચોક્કસ પ્રકાર પર આધારિત છે. કોઈપણ સારવાર યોજના સ્થાપિત કરી શકાય તે પહેલાં બાયોપ્સી અથવા સર્જિકલ રિસેક્શન દ્વારા ગાંઠના પ્રકારની પુષ્ટિ થવી જોઈએ.

મોટાભાગના મગજની ગાંઠોની સારવારમાં સર્જિકલ રિસેક્શન એ મુખ્ય આધાર છે. સર્જિકલ રિસેક્શન ઘણા ધ્યેયો સિદ્ધ કરે છે: તે ગાંઠ માટે પેશી નિદાન સ્થાપિત કરે છે, તે દબાણને દૂર કરે છે કે ગાંઠ આસપાસના મગજ પર મૂકે છે, અને તે મગજમાં ગાંઠના કોષોની સંખ્યામાં ઘટાડો કરે છે જે સંભવિતપણે વધારાના કિરણોત્સર્ગ અને કીમોથેરાપીને વધુ અસરકારક બનાવે છે. બાયોપ્સી સામાન્ય રીતે ટીશ્યુ નિદાન મેળવવા માટે આરક્ષિત હોય છે જ્યારે ગાંઠ મગજના સર્જિકલ રીતે અગમ્ય ભાગમાં સ્થિત હોય છે. ગાંઠના પ્રકાર પર આધાર રાખીને વધારાની કીમોથેરાપી અને રેડિયેશનની જરૂર પડી શકે છે.

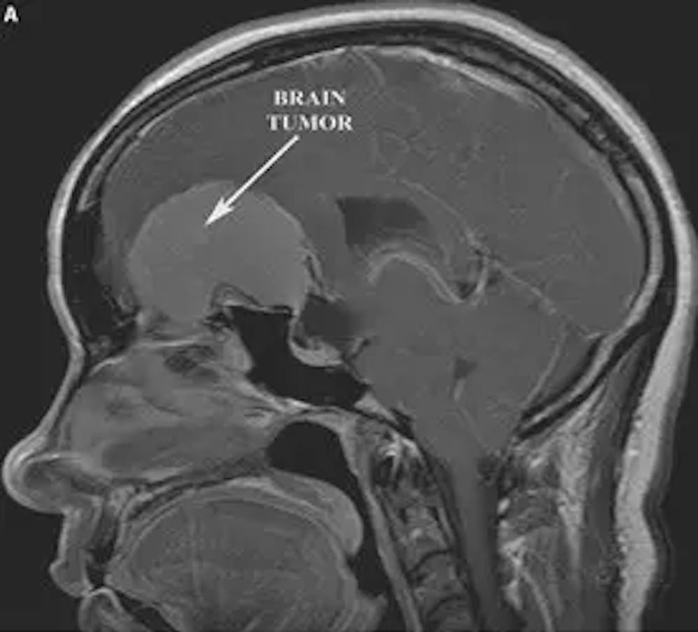
એ) પ્રિ-ઓપરેટિવ સગિટલ T1 એમઆરઆઈ કોન્ટ્રાસ્ટ સાથે આગળના લોબને સંકુચિત કરતા મોટા મેનિન્જિયોમા દર્શાવે છે

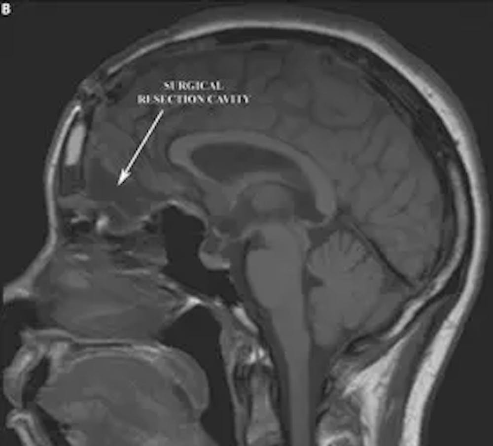
બી) પોસ્ટ-ઓપરેટિવ સગિટલ T1 એમઆરઆઈ રિસેક્શન કેવિટી અને આગળના લોબ્સ પર સામૂહિક અસરનું રિઝોલ્યુશન દર્શાવે છે


Back to Blog

Convenient Care, Close to Home Our Locations

Accessibility: If you are vision-impaired or have some other impairment covered by the Americans with Disabilities Act or a similar law, and you wish to discuss potential accommodations related to using this website, please contact our Accessibility Manager at 1-888-444-NYSI.
Schedule a Consultation