Una malformación de Chiari tipo II es una anomalía más compleja que generalmente se asocia con la espina bífida. Una malformación de Chiari de tipo II implica anomalías del hueso, el cerebelo y el tronco encefálico en la unión cervico-medular. Con una malformación de Chiari tipo II, el tronco encefálico tiene una forma inusual y una gran parte del cerebelo desciende a través del foramen magnum. Una malformación de Chiari tipo III es una variante poco común y más extrema asociada a déficits neurológicos severos. Otras condiciones a veces asociadas con malformaciones de Chiari incluyen hidrocefalia, formación de siringe y curvatura espinal (escoliosis).
¿Qué causa una malformación de Chiari?
Aunque algunas malformaciones de Chiari tipo I pueden adquirirse después del drenaje de líquido cefalorraquídeo de la columna lumbar, esto es poco común. La gran mayoría de todas las malformaciones de Chiari se atribuyen a problemas estructurales que surgen durante el desarrollo.
¿Cómo se descubren las malformaciones de Chiari?
Una malformación de Chiari tipo I puede estar asociada con un espectro de síntomas. Las malformaciones de Chiari tipo I pueden asociarse con dolores de cabeza severos que clásicamente se agravan con la tos. Algunos pacientes con malformaciones de Chiari tipo I pueden notar debilidad en los brazos y las piernas, así como una variedad de trastornos sensoriales. Algunos pacientes incluso notarán dificultad para caminar, hablar o tragar.
Una malformación de Chiari tipo II puede estar asociada con dificultad grave para respirar y tragar. Algunos pacientes con malformaciones de Chiari tipo II pueden experimentar debilidad en los brazos e incluso cuadraparesia.
Si se sospecha una malformación de Chiari, el diagnóstico se confirma con una resonancia magnética del cerebro y la médula espinal. Una resonancia magnética es la mejor manera de demostrar las anomalías anatómicas asociadas con estas malformaciones.
¿Cómo se tratan las malformaciones de Chiari?
Se pueden observar malformaciones tipo I de Chiari I con síntomas leves o sin síntomas. Sin embargo, la cirugía es el único método para tratar los síntomas asociados con las malformaciones de Chiari tipo I y II. La cirugía tiene como objetivo aliviar la presión ejercida sobre el tronco encefálico y la médula espinal por el tejido cerebeloso bajo. Casi todos los pacientes con una malformación de Chiari tipo II tienen hidrocefalia (la acumulación de líquido cefalorraquídeo en el cerebro mismo) que requiere la colocación de una derivación.

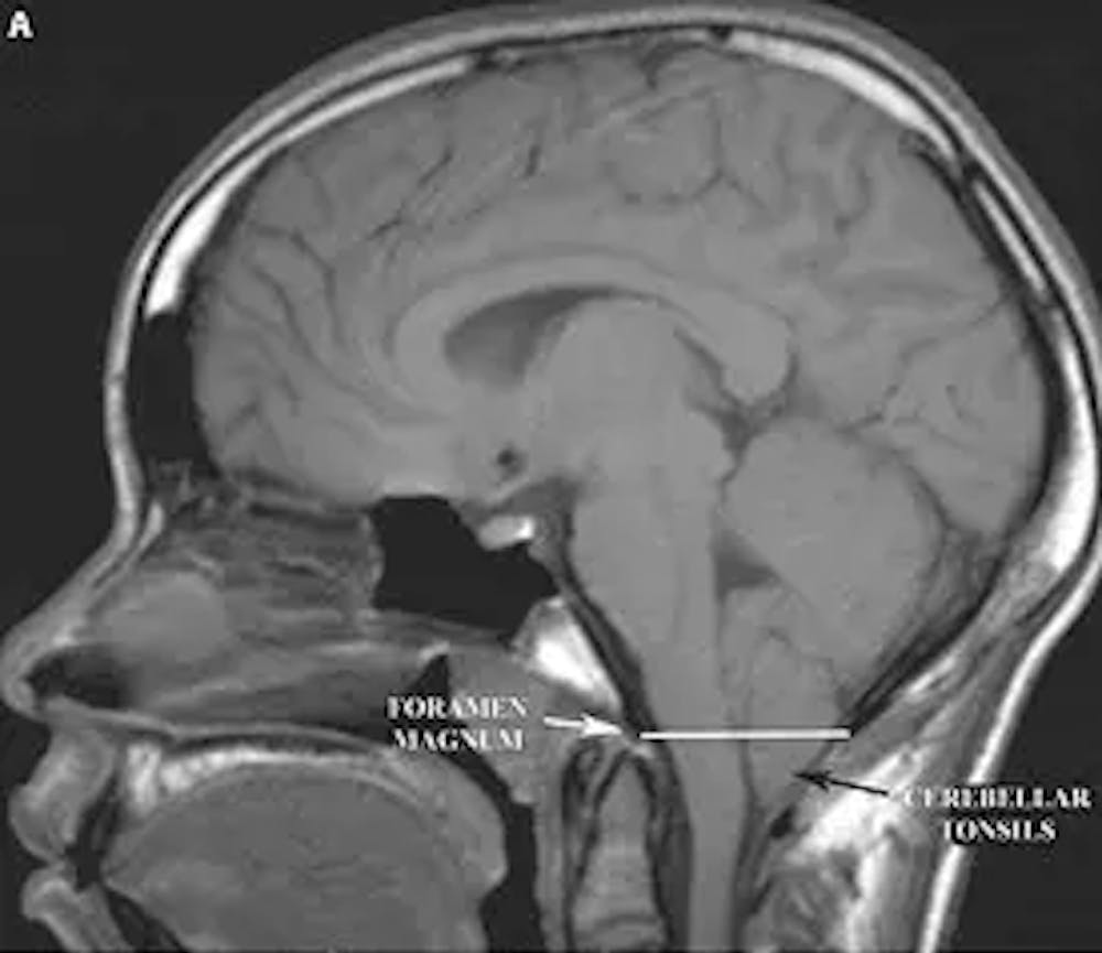
A) Resonancia magnética ponderada T1 sagital del cerebro que demuestra la protrusión de las amígdalas cerebelosas por debajo del foramen magnum (indicado por la línea blanca). Esta es una malformación de Chiari tipo I.

B) Fotografía intraoperatoria que demuestra las amígdalas cerebelosas.

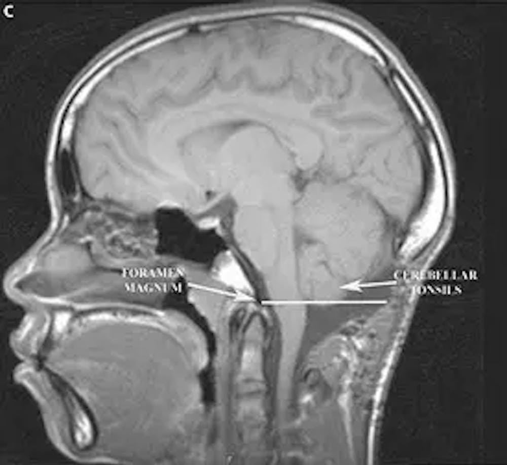
C) Resonancia magnética ponderada en T1 sagital posoperatoria del cerebro que demuestra la nueva posición de las amígdalas cerebelosas sobre el foramen magnum (indicado por la línea blanca)


