मिर्गी का कारण क्या है?
मिर्गी अतिसक्रिय न्यूरॉन्स के समूह से उत्पन्न होती है जो आसपास के मस्तिष्क में गड़बड़ी पैदा करती है जिसके परिणामस्वरूप दौरे की गतिविधि होती है। मिर्गी मस्तिष्क के विकास में असामान्यता, एक संक्रामक प्रक्रिया, मस्तिष्क ट्यूमर, सिर की चोट, स्ट्रोक या किसी भी प्रक्रिया के परिणामस्वरूप हो सकती है जिसके परिणामस्वरूप मस्तिष्क के ऊतकों को चोट लगती है। मिर्गी के कुछ रूप अज्ञातहेतुक होते हैं, जिसका अर्थ है कि स्पष्ट अंतर्निहित शारीरिक असामान्यता की पहचान नहीं की जा सकती है। माना जाता है कि इडियोपैथिक मिर्गी मस्तिष्क में जैव रासायनिक असंतुलन, न्यूरॉन्स के बीच असामान्य संबंध या दोनों के संयोजन से उत्पन्न होती है।
मिर्गी का निदान कैसे किया जाता है?
इलेक्ट्रोएन्सेफलोग्राफी (ईईजी) रिकॉर्डिंग मस्तिष्क में न्यूरॉन्स के समूहों की गतिविधि को मापती है, और मिर्गी के निदान की पुष्टि करने में मुख्य आधार है। ब्रेन एमआरआई मस्तिष्क में शारीरिक असामान्यताएं (जैसे ट्यूमर, संवहनी विकृतियां और विकास संबंधी विसंगतियां) भी प्रदर्शित कर सकता है जो दौरे के विकार में योगदान कर सकता है।
मिर्गी का इलाज कैसे किया जाता है?
मिर्गी के कई रूपों को दवा से नियंत्रित किया जा सकता है। जब दवा दौरे को नियंत्रित करने में विफल हो जाती है, या दवा के दुष्प्रभाव असहनीय हो जाते हैं, तो सर्जरी एक विकल्प है। एक बार जब दौरे का फोकस ईईजी रिकॉर्डिंग के साथ स्थानीयकृत हो जाता है, तो इसे शल्य चिकित्सा द्वारा अलग किया जा सकता है। असाध्य मिर्गी से पीड़ित कई मरीज़ सर्जरी के बाद अपनी स्थिति में महत्वपूर्ण सुधार का अनुभव कर सकते हैं। वेगल तंत्रिका उत्तेजक (गर्दन में वेगस तंत्रिका से जुड़े विद्युत पल्स जनरेटर) भी कुछ प्रकार की असाध्य मिर्गी के लिए एक प्रभावी उपचार हैं। वेगस तंत्रिका की विद्युत उत्तेजना एक अज्ञात तंत्र द्वारा दौरे की आवृत्ति को कम करने में मदद करती है।
ए) क्लासिक टेम्पोरल लोब मिर्गी के रोगी में दौरे की गतिविधि (हिप्पोकैम्पस) की उत्पत्ति को प्रदर्शित करने वाला कोरोनल टी2 भारित एमआरआई
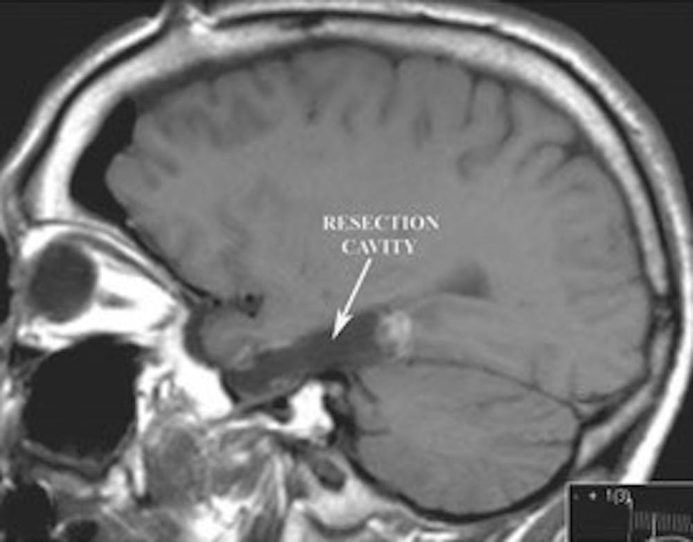
बी) पोस्ट-ऑपरेटिव सैजिटल टी1 भारित एमआरआई हिप्पोकैम्पस के उच्छेदन को प्रदर्शित करता है



